矯正相談を受け付けております。
上川歯科医院では矯正相談を受付けております。
大人の矯正治療・子供の矯正治療お悩みございましたらお気軽にご連絡下さい。
お問合せ、ご相談の際には下記電話までご連絡下さい。
※ご連絡の際には、「ホームページの矯正相談を見た」とお伝え下さい。

TEL:03-5600-2939
院長上川が皆様のお悩み、疑問にお応え致します。
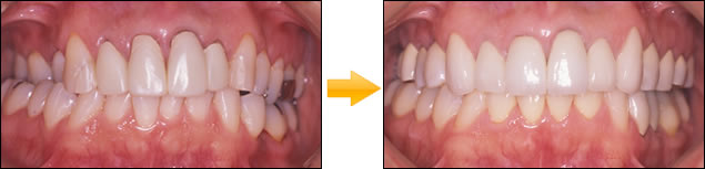
矯正歯科 症例集

症例について
右と左と奥歯のかみ合わせが違って咬みづらい。全体にしっかり治したいという主訴友人の紹介で来院されました。

症例について
下顎の歯列弓が大きく、逆の咬み合せとっている。
また、犬歯の位置異常により不潔域からカリエスを多発している。
