症例紹介
40代男性: 抜歯 即時義歯の症例
症状
噛めない等、様々な症状で長い間歯で悩んでいた患者さんです。
レントゲンから保存できる歯がないことがわかります。
治療前

治療過程
即時義歯 SETのための準備
①上下顎の印象・下顎位の診査・診断
上下顎の印象・意図的に対合関係を彩得する

顎位の診査・診断、前歯部の審美性の確認

SHILLA SYSTEM にて咬合平面設定

ゴシックアーチトレーシングにより、顎関節・中心位を診査・診断する

② 治療用義歯の作成
前歯部のデータを移行

咬合平面の設定

人工歯排列の完成

イボカップシステムにて重合、完成した治療用即時義歯

③ 抜歯・骨整形 治療用義歯 SET
咬み合わせが2級、ロングセントリックのため、習慣性の咬み合わせが安定したところで2つめの治療用義歯を作成した。

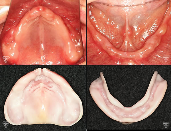
Tissue Conditionerによる粘膜調整を行い6ヶ月後の口腔内と義歯内面観

Tissue Conditionerによる動的最終印象より得られた作業用模型



完成した最終義歯

治療後

治療前後の比較
治療前

治療後

治療期間・治療費・リスク

