症例紹介
20代女性:オープンバイト(開咬)をゴムメタルにて矯正治療したケース
症状
オープンバイトは、上下の歯を噛み合わせた時に奥歯は噛んでも前歯が噛まない歯列不正の1つです。
原因には遺伝的なものや指しゃぶり 舌癖 口呼吸など様々なものが上げられます。
前歯で噛み切れない、正しく発音しにくいなどの機能障害をはじめ、顎関節症・歯周疾患を併発する可能性があります。
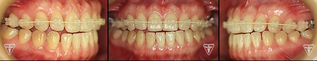
矯正器具 装着時の治療過程


治療後


保定装置の装着
長期安定と後もどり防止のために、保定装置を装着します。 長谷川 信先生考案のフロッシュ装置(ゴムメタル使用)を夜間装置します。

治療前後の比較
治療前

治療後

治療前

治療後

治療前

治療後

治療期間・治療費・リスク

