症例紹介
70代女性:あごのズレを修正して入れた総義歯(総入れ歯)
※印象・模型・排出・歯間形成 すべてドクターの手により調整しました。
症例について
御主人の紹介で入れ歯が痛くて咬みづらいという主訴で来院されました。
金属床は、身体(口の中の歯槽骨形態)の変化に対応・修正できない欠点があります。
治療前
初診時での口腔内所見




顎関節の診断・ゴシクアーチトレーニング
顎関節の動きと咬む位置の診査・診断の結果:右に顎がズレて咬む習慣になっていました。


顎の右偏位の修正を期待できる 治療用義歯を作成する






完成した治療用義歯



内粘膜の調整

途中経過:治療用義歯を入れてから3ヶ月後、顎のズレがなおってきました。
右にズレていた分だけ顎が左に移動しました。
その位置でダイレクトチェックバイトを採得し咬合器にマウントし咬合調整をしました。

最終印象と顎位改善が見られた顎間関係


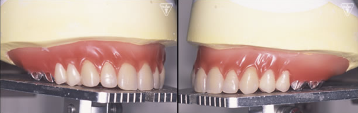
完成した最終義歯





治療後
最終義歯装着から5年リコール時に下の義歯が少しゆるむということで内面をリベースしました。
総義歯でも真面目にリコールに応じて下さり、感謝しております。
この義歯が人工臓器として、しっかり機能するようにしっかり管理させていただきます。

治療期間・治療費・リスク

治療後のリコール時におけるリスクマネジメント
- 生理的骨の吸収、大病等による総入れ歯の適合が悪くなることがある。その際は、リベースにより、適合の回復を行う。
