症例紹介
40代 男性:他医院ドクターからの紹介のケース
症例について
全顎に補綴処置が施され咬み合せの面がつぶれた様な状態となっている。
また、レントゲンから抜歯しなければならない歯や根に病巣を持っている歯が確認できる。
海外出張前にしっかり歯を治したいと、決められた期間内での治療となりました。
治療前
初診時の正面観・側方観・かみ合わせの面の状態を示します。
下の顎のずれがあるのを確認して下さい。

治療過程
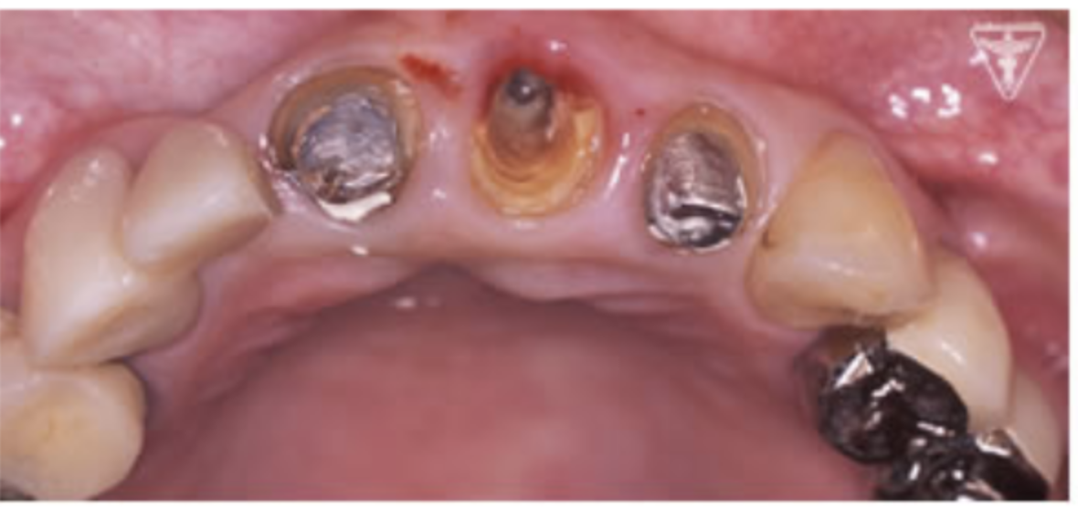
根破折の為抜歯、審美的に抜いた部位が陥没しない様に処置しました。
▽歯の破折を認める

▽抜歯

▽人工骨、コラーゲンシートにて歯槽骨吸収の陥没を防止

▽ソケットプリザベーション・人工被膜によるパラシュートスチャーにて縫合

抜歯後、歯周病処置、歯内療法処置、咬合高径改善、プロビジュナルレストレーションを経て最終補綴をおこないました。
治療後
初期治療を経て歯周外科、歯内療法により病巣の消失が認められ改善された。
右上は将来人工歯根による処置の為GBRを行った。
咬んだ感じが軽くなり、よく咬めると評価を頂きました。


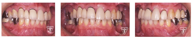
治療前後の比較
治療前

治療後

治療前

治療後

治療前

治療後

治療期間・治療費・リスク

治療後のリコール時におけるリスクマネジメント
- ・海外から戻られてからも定期的リコールに応じられ感謝しております。
- 歯周検査により歯肉の炎症、ポケットの管理、咬合調整、により咬合圧、接触点、外傷性咬合の有無等の診査・診断を行いコントロールしていく
