信頼の構築と継続治療で
歯を長く維持できる
治療を目指して
信頼の構築と継続治療で
歯を長く維持できる
治療を目指して
当院が選ばれる3つの理由
01
3つの視点の噛み合わせチェック
当医院では、見た目だけでなく、機能性をより良くする治療を基本方針としています。
噛み合わせや歪み、嚙みつぶす機能や力、顎の動きなども確認し、改善に向けての原因の追求、入れ歯制作の最適なヒントになるように診察いたします。
具体的には、咬み合わせた際に接する歯の平面や点、そして前後や左右にずらした時の上下の歯が接する点などを確認します。
02
健康な歯をできるだけ残した矯正治療
当院では非抜歯の矯正も可能です。(※審美性を優先する場合は抜歯が必要な場合もございます。)
治療方法としては、歯列の幅を広げて隙間を確保し、歯を揃える手法を採用しています。特にV字型や方形型の歯列の方は、非抜歯でも矯正可能な方が多いです。
患者様のご要望に合わせて、最適な提案を行い、納得いただいた上で治療を進めるよう努めています。
03
20年以上も持続する治療効果の実現
当院では一時しのぎではなく根本的な治療を行うことで、治療効果の持続性を実感できます。
定期的なメンテナンス調整は必要ですが、実際の症例として、治療後20年以上も改善された口腔を維持されている患者様もおります。
自由診療での治療の場合、費用は決して小さい額とは言えませんが、その費用対効果は保証いたします。
お困りのことがございましたら、どうぞお気軽にご相談ください。
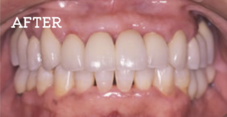
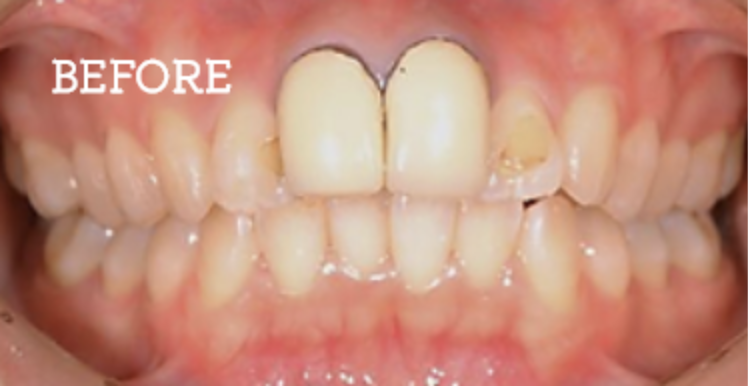
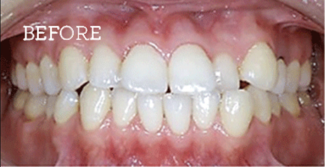
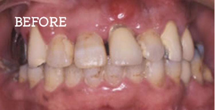
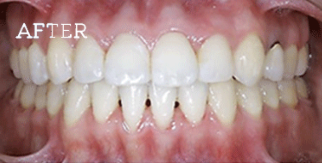
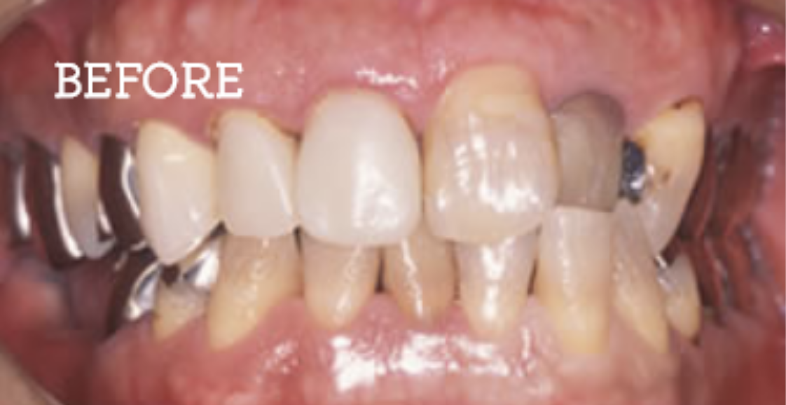
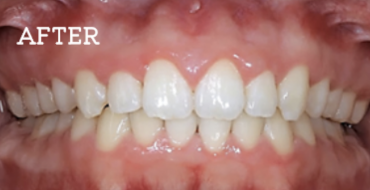
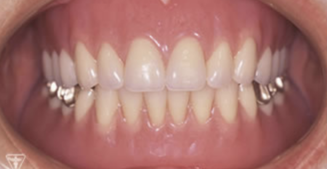
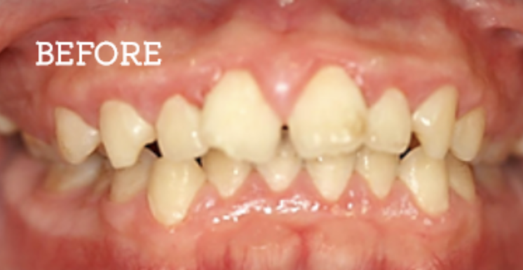
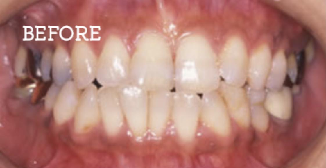
よくご相談いただく治療
症例
お困りごとを参考に、治療のbefore・afterが確認できます。治療過程や期間、費用などを参考にご覧ください。
最新症例
インスタグラムで最新治療を公開しております。
