症例紹介
40代男性:10年後も維持!顎のずれ、歯並びを治してストレスフリーの噛み合わせに!(再構築治療)
治療前後の比較


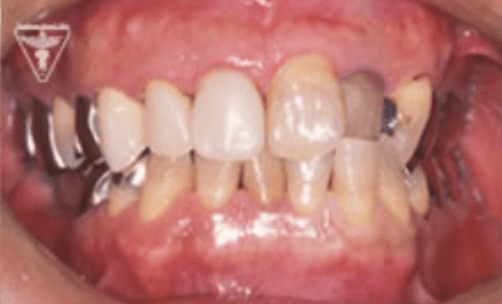
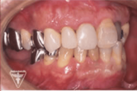
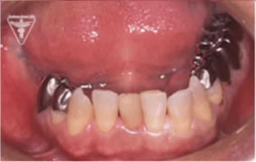
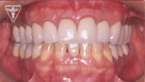
治療前
向かって左に顎がずれて、左の前歯が逆にかみ合いロックしてます。
関節と筋肉が行きたい位置を診査・診断して、正しい咬み心地の良い咬合を模索していきます。
向かって左下の欠損は、人工歯根で対応します。
初診時での正面・側方・咬合面観を示します。

顎位診査にSHILLA SYSTEM を用いて行います。左は、エステティク・フェイスボウにより患者さんの上顎三角と正中矢状面を咬合器へ移します。
右は、咬合器へ個々のデータを移した状態を示します。

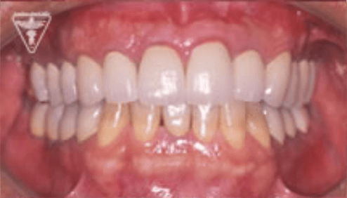
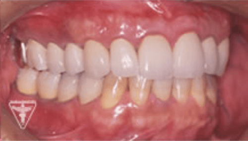
治療後


治療前後の比較


治療前〜術後10年の経過
治療期間・治療費・リスク

治療後のリコール時におけるリスクマネジメント
- ・3ヶ月に1回のリコールにて、全顎的な咬合の調整と、歯周疾患の管理
- インプラント歯周炎に対しては、炎症の除去を徹底的に行い、骨へのダメージがいく前に対応致します。リコールによる、維持治療を行う。



















