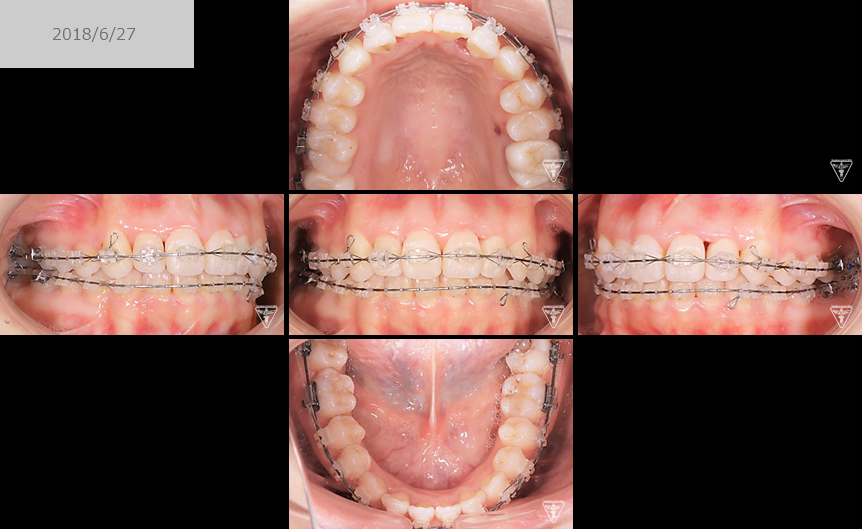
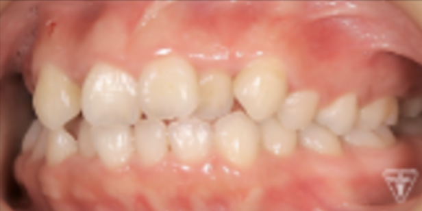
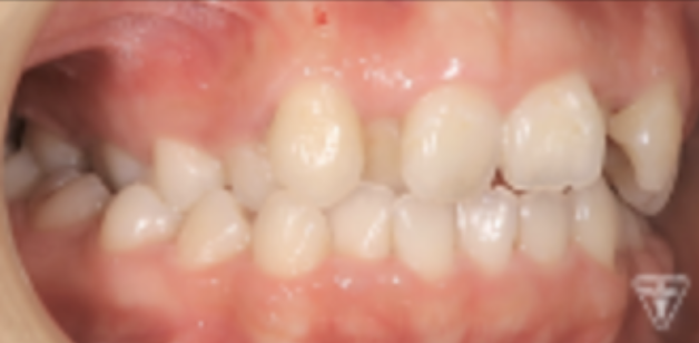
症例紹介
20代女性:AngleⅠ級叢生の症例
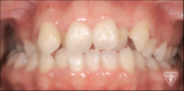
治療前



矯正器具 装着時の治療過程



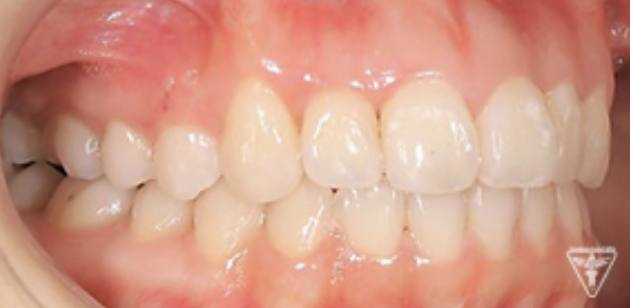
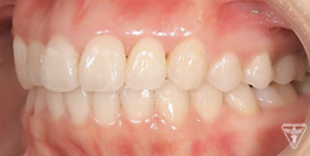
治療後

治療前後の比較
治療前

治療後

治療前

治療後

治療前

治療後


治療前

治療後

治療期間・治療費・リスク

治療後のリコール時におけるリスクマネジメント
- 矯正装置除去後に後戻りすることがあるので、保定装置を決められた期間確実に装着してください。
- リコールによる継続定期検診が必要となります。
症例紹介







治療前

治療後

治療前

治療後

治療前

治療後


治療前

治療後

