症例紹介
20代女性:AngleⅡ級の症例
治療前
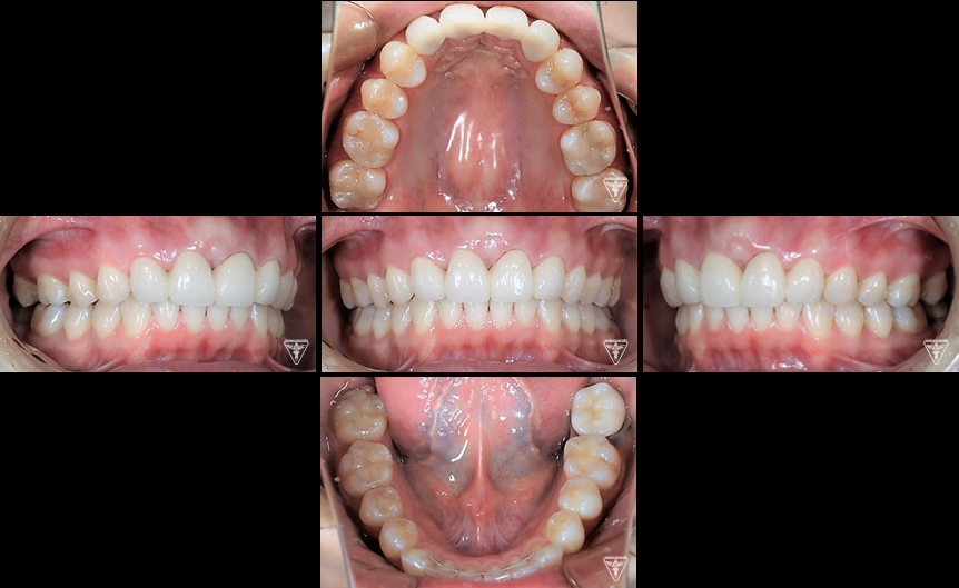
初診時での口腔内所見

矯正器具 装着時の治療過程



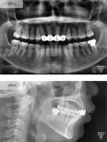
治療後

治療前後の比較
治療前

治療後

治療前

治療後

治療前

治療後

治療前

治療後

治療期間・治療費・リスク

治療後のリコール時におけるリスクマネジメント
- 矯正装置除去後に後戻りすることがあるので、保定装置を決められた期間確実に装着してください。
- リコールによる継続定期検診が必要となります。
症例紹介
初診時での口腔内所見





治療前

治療後

治療前

治療後

治療前

治療後

治療前

治療後

