症例紹介
50代女性 :かみ合わせ 骨再生治療により咬合を改善した症例
治療前後の比較


治療前
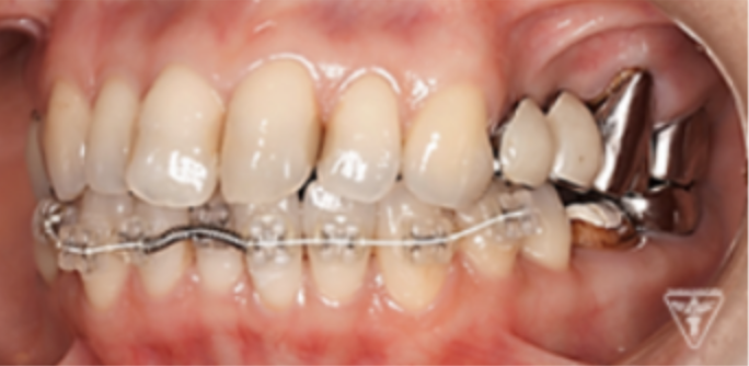
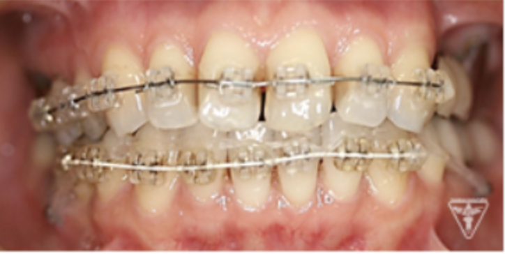
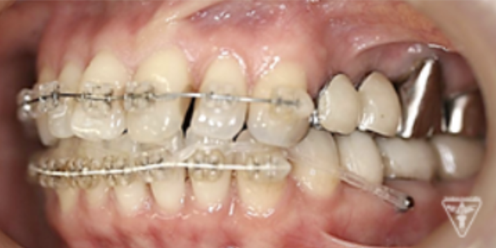
矯正治療
矯正治療による歯軸、叢生改善
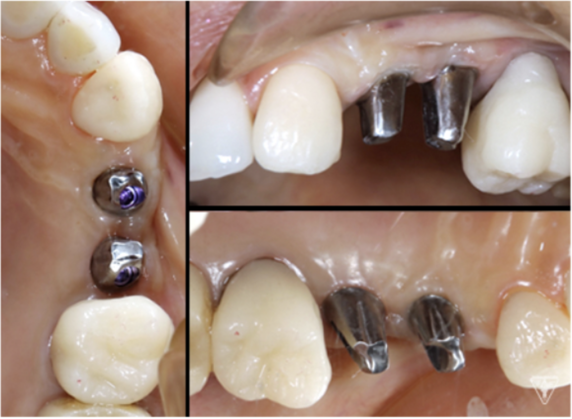
骨再生治療
インプラント
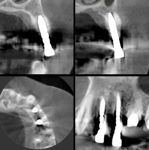
サージカルガイドの作成
インプラント埋入前のCTによる確認
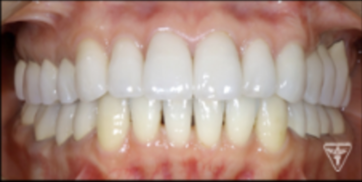
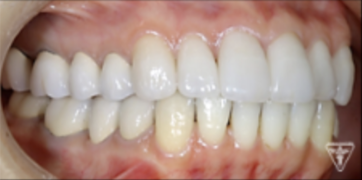
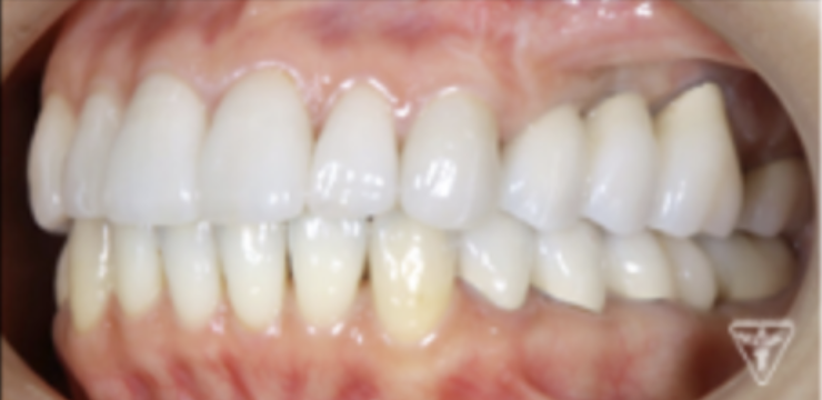
最終補綴物装着時
咬合調整
粉砕効率の高い小さな点による均衝接触をつくります。
咬合様式は、ミューチャリープロテクトオクルージョンを付与しました。

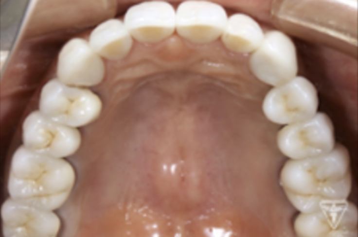
咬合平面の評価(SHILLAⅡの平面板による)
治療後
治療前後の比較


治療期間・治療費・リスク

治療後のリコール時におけるリスクマネジメント
- 3ヶ月毎、リコール時にインプラント周囲炎の有無の診査・診断を行い、有した場合は早期にレーザー、キュレッタージによる炎症の除去を施す。
- リコール時に咬合の調整を行う。咬合面に対して均衡な小さな点で接触しているかを診査・診断し調整する。
- フレミタス、咬合性外傷の有無、顎関節の状態を診査・診断する。
- 歯周検査により、ポケット辺縁性歯周炎等の有無の診査・診断を行い骨へのダメージを防ぐ。
- TBI、PMTCにより、口腔内清掃状態の確認をし、指導をうながす。







































