症例紹介
10代女性:矯正治療
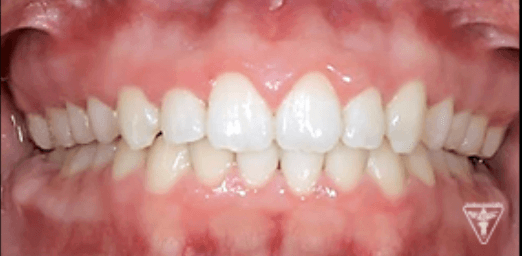
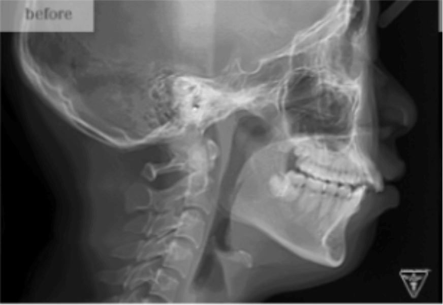
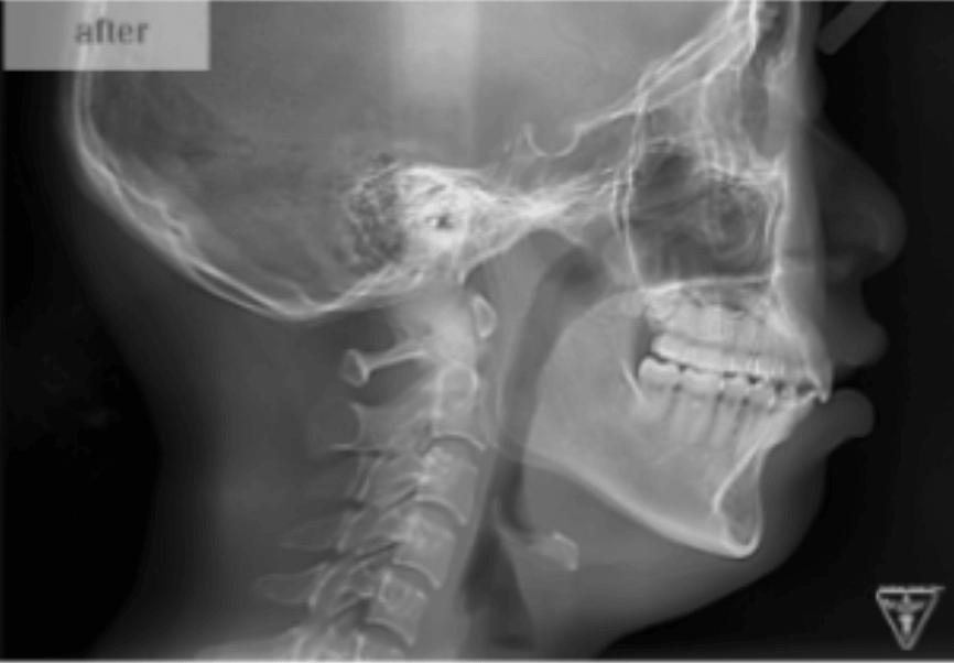
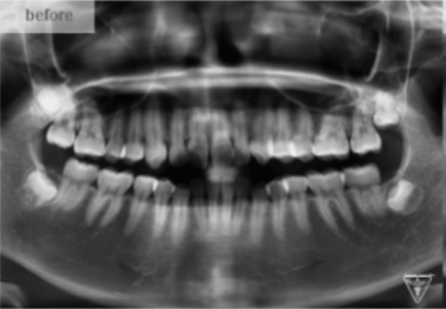
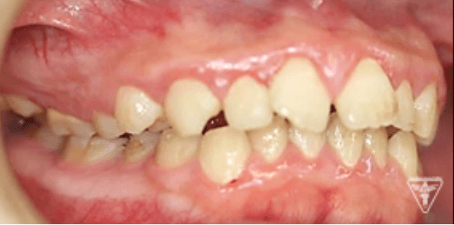
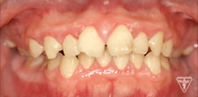
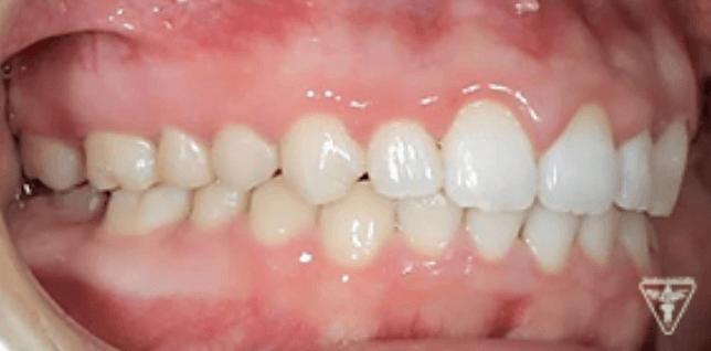
治療前後の比較


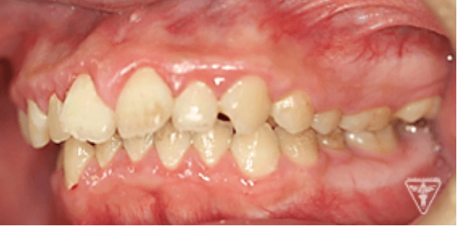
治療前
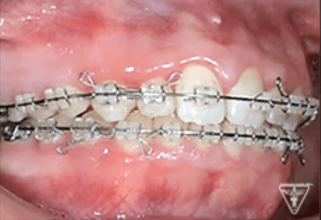
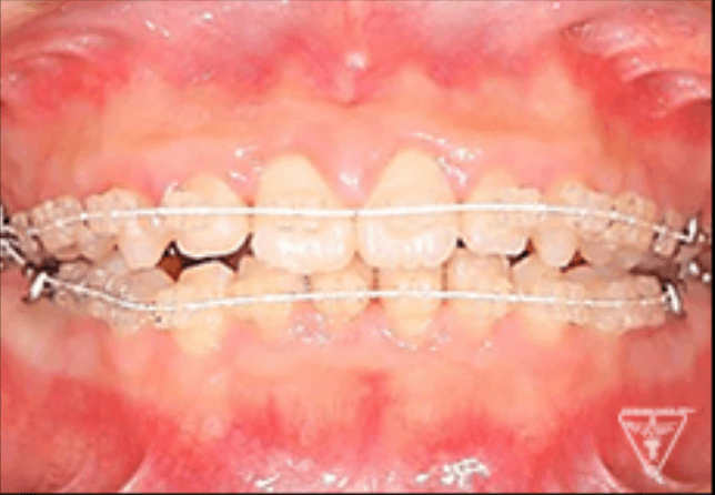
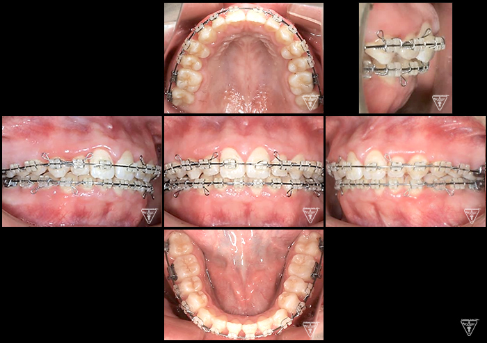
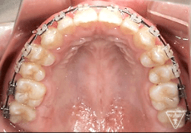
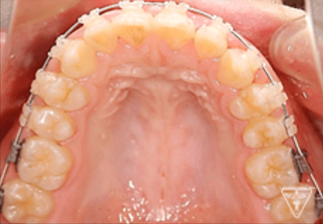
矯正器具 装着時の治療過程
初期
後期
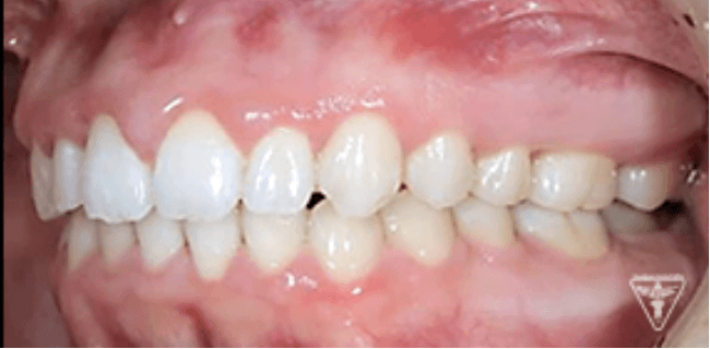
治療後
治療前後の比較






治療期間・治療費・リスク
| 治療期間 | 1年 |
| 治療費 | ¥880,000 |
治療後のリコール時におけるリスクマネジメント
- 矯正装置除去後に後戻りすることがあるので、保定装置を決められた期間確実に装着してください。
- リコールによる継続定期検診が必要となります。
症例紹介


初期
後期






| 治療期間 | 1年 |
| 治療費 | ¥880,000 |