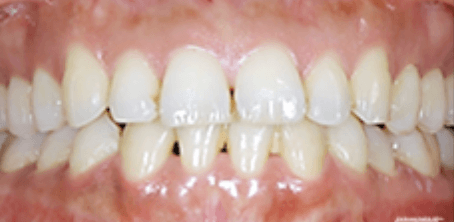
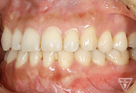
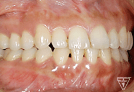
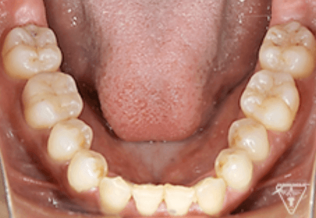
症例紹介
30代女性:八重歯の矯正治療(ゴムメタル矯正)
治療前後の比較


治療過程①
治療過程②
治療過程③
治療後
治療前後の比較






治療期間・治療費・リスク

治療後のリコール時におけるリスクマネジメント
- 矯正装置除去後に後戻りすることがあるので、保定装置を決められた期間確実に装着してください。
- リコールによる継続定期検診が必要となります。












