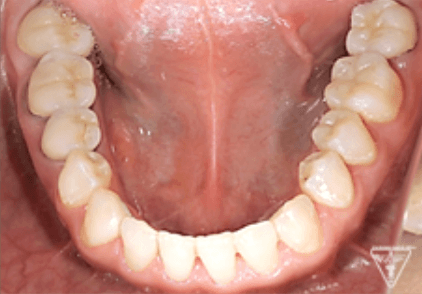
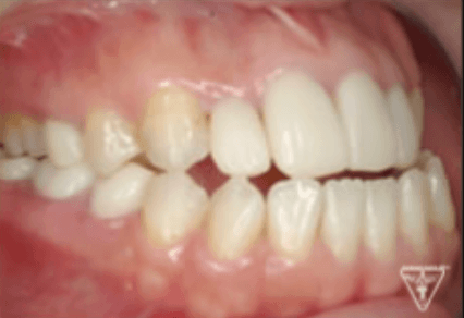
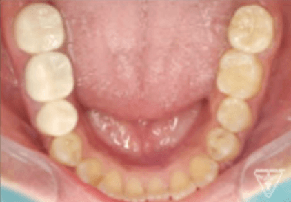
症例紹介
40代女性:反対咬合の治療(ゴムメタル矯正)Skeletal Class Ⅲ Mesio-fecial Type Case
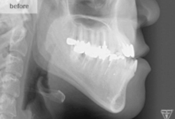
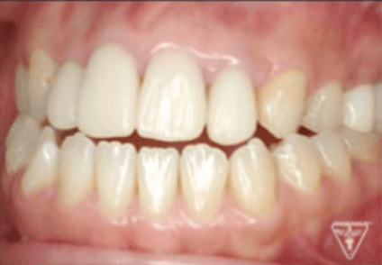
治療前

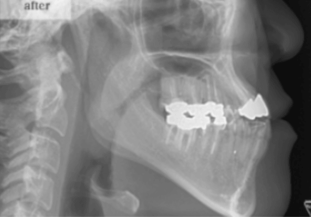
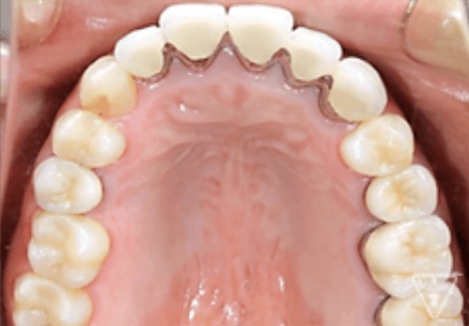
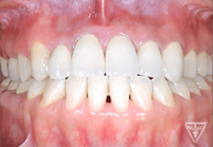
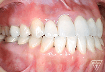
治療後

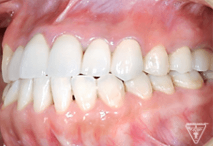
治療前

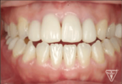
治療後

治療前

治療後

治療前

治療後

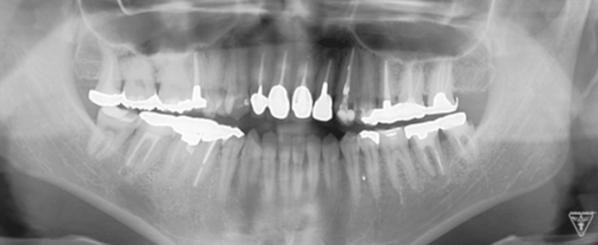
治療期間・治療費・リスク

治療後のリコール時におけるリスクマネジメント
- 矯正装置除去後に後戻りすることがあるので、保定装置を決められた期間確実に装着してください。
- リコールによる継続定期検診が必要となります。
症例紹介


治療前

治療後

治療前

治療後

治療前

治療後

