症例紹介
60代男性:重度の歯周疾患と咬合崩壊を伴った症例
治療前後の比較


症例について
治療を受けたご親類の方のご紹介から、前歯がグラグラになり、咬めなくなってきたとのことでご来院されました。
重度の歯周疾患のため生活習慣の改善、ブラッシング指導、歯周外科を施し歯周病の進行を止めました。
平衡して理想的咀嚼の再構築を実践していました。
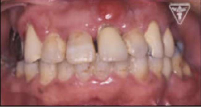
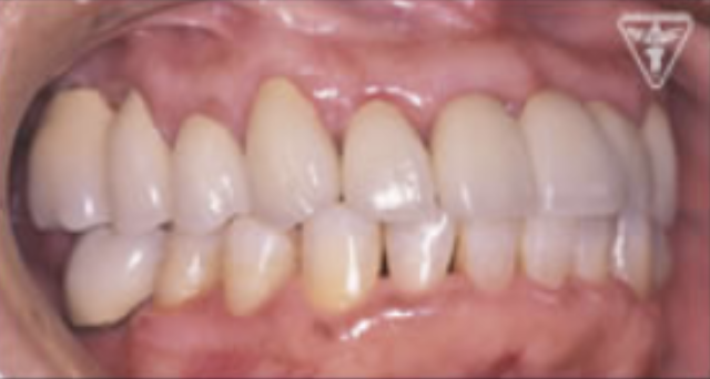
治療前
初診時での正面・側方・咬合面観を示します。

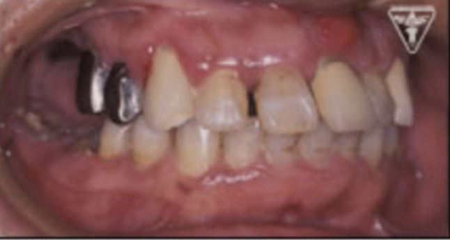
人工歯根と接合するアバットメントを示します。

治療過程
抜歯後、歯周病処置、歯内療法処置、咬合高径改善、プロビジュナルレストレーションを経て最終補綴をおこないました。
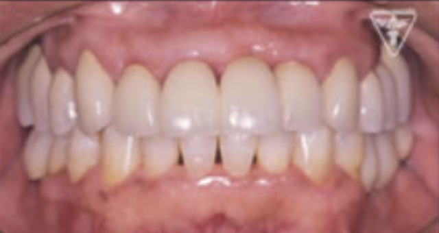
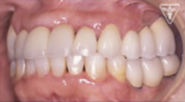
治療後

治療前後の比較


治療前

治療後

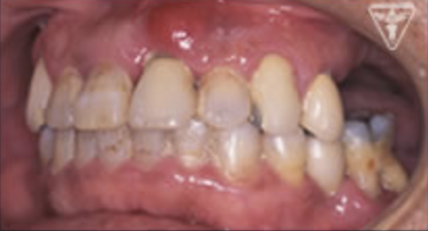
治療後の経過状態
治療期間・治療費・リスク

治療後のリコール時におけるリスクマネジメント
- 重度の歯周疾患の場合、全身疾患(高血圧、糖尿病等)の管理と2〜3ヶ月に1回のリコールにより、再発の有無の診査・診断、継続治療を行っていく。
- リコールによる継続治療により、初期の段階で治療を行い歯周組織の恒学性を保つ。














