症例紹介

30代男性:即時義歯の症例
治療前
歯ぎしりによる咬耗が見られる。
治療前

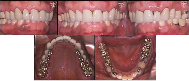
治療後

SHILLA System による優れた咬合平面と歯列弓の改善を示す

根尖病巣の治療経過Xray 写真

治療後の口腔内所見

治療前後の比較
治療前


治療後


治療後の経過状態
術後20年

犬歯のビルドアップ・歯冠形態の修正・咬合平面、歯列弓改善によりミューチャリープロテクトオクルージョン(天然歯に存在する理想咬合様式、個々の歯の機能が正しく活躍し、互いに助け合って調和された咬み合せ)に咬合様式を変え、長期間安定を認めることができました。
今後、やり直すことがない様、力(コンプレッション)・炎症・均衡接触のコントロールをリコール時にさせていただきます。

治療期間・治療費・リスク


治療後のリコール時におけるリスクマネジメント
- リコールにて歯周組織、咬合の継続治療を行い、管理する