症例紹介
50代女性:歯周疾患による上顎前突症(出っ歯)の症例
治療前後の比較


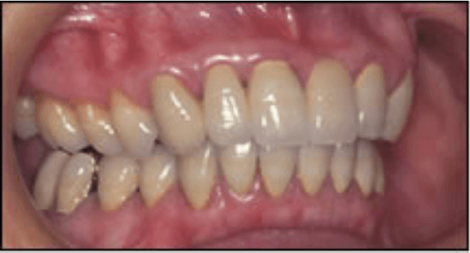
症状
深い咬み合せと歯周疾患により上顎前突となり、口唇が閉じにくい状態となっている。
口で呼吸することが多く、口唇がいつも切れた状態になっている。
また、口唇が閉じれない為、表情筋が過剰な緊張を呈しているのが認められる。
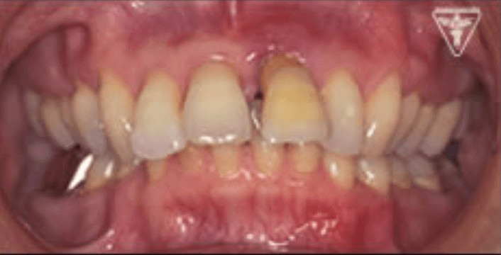
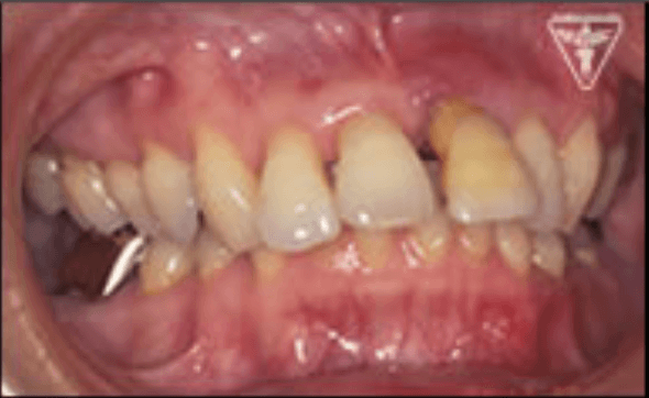
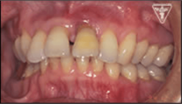
治療前
初診時での口腔内所見 と顔貌、口腔内研究模型
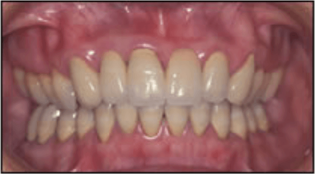
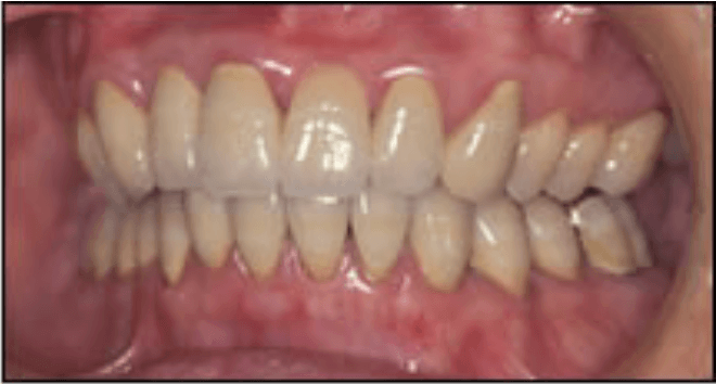
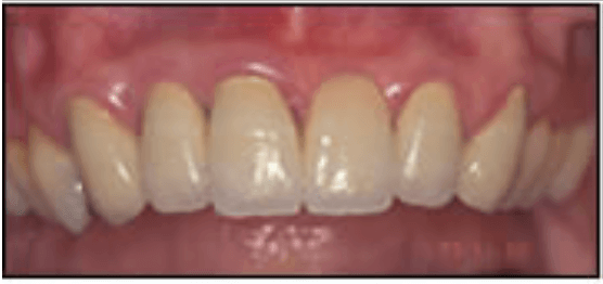
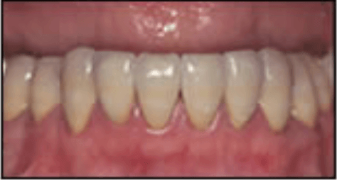
治療後
抜歯後、歯周病処置、歯内療法処置、プロビジョナルによる咬合高径改善、前歯部MTMを経て最終補綴をおこないました。
治療後口元の表情がリラックスされ、やさしいおだやかな表情に変わり大変よろこばれた。
肩こりが楽になり、良く咬めるようになったと評価をいただきました。
治療前後の比較


治療期間・治療費・リスク

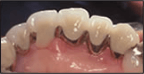
治療後のリコール時におけるリスクマネジメント
- 定期的なリコール(3ヶ月ごと)による継続治療が行われている。歯周疾患の再発防止と咬合の管理を包括的に行っていく


























