症例紹介
70代 女性:咬み合せの高径を上げて咬合を再構築したケース
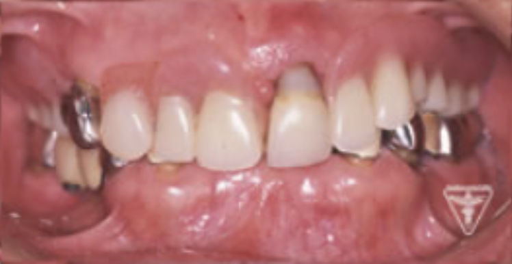
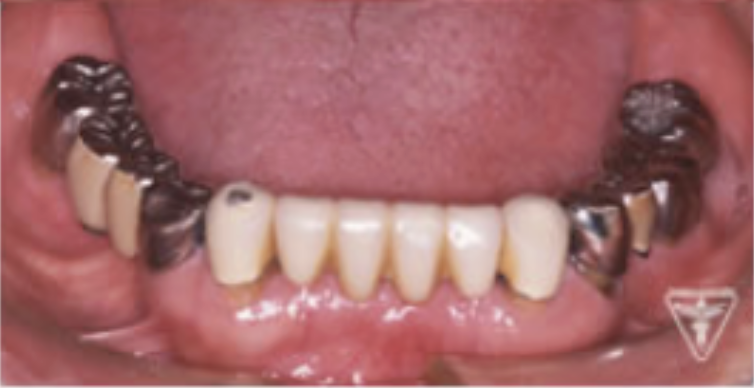
入れ歯が痛くて咬めない。歯がぐらぐらしてきた。
下の歯が見えないくらい咬み合せが深くなって話しづらいという主訴で来院されました。


下の歯が見えないくらい咬み合せの高さが低くなり下の顎が奥にいき苦しい状態で来院されました。
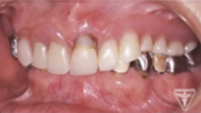
ぐらぐらの歯を抜くと同時に入れ歯を入れる準備をします(即時義歯)
患者さんの上顎模型の正中矢状面を咬合器にトランスファーし、ゴシックアーチトレーサーにより中心咬合位を採得して下顎模型をマウントします。
SHILLA System による診査・診断・咬合再構築
ぐらぐらの歯を模型上で抜歯して、理想的な咬み合せの平面・高さ・咬合関係をSHILLA Systemにより診査・診断していきます。高さの足りない所はwax等でプラスします。低い所は削合してマーキングします。
WAXを硬いレジンに置き換え、シェルを作成します。
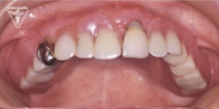
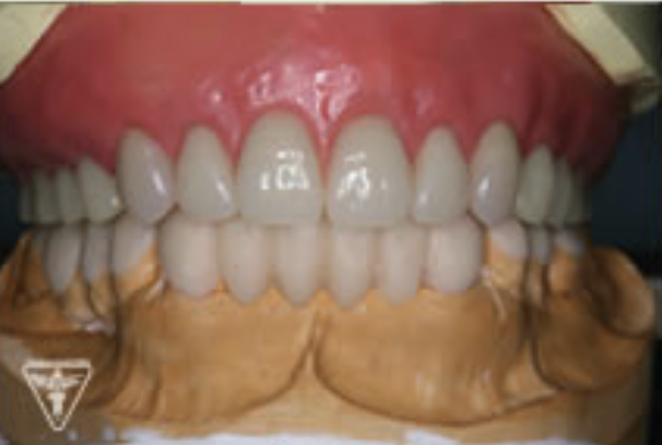
上顎シングルデンチャーを重合し治療用即時義歯を完成
ドイツイボクラール社の重合システムを採用し、歯肉色レジンを6気圧で注入しながら重合収縮を補う方法により優れた寸法精度と緻密な分子間構造の物性が得られる。
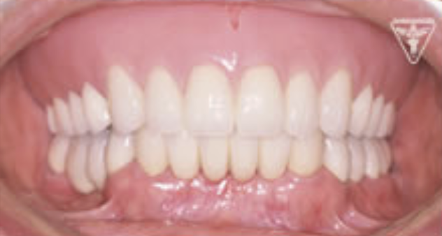
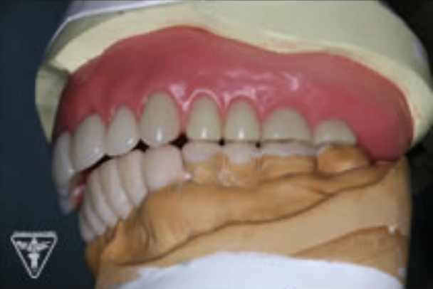
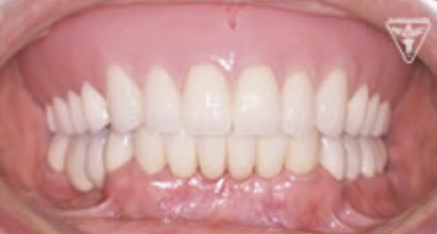
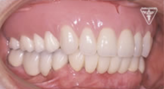
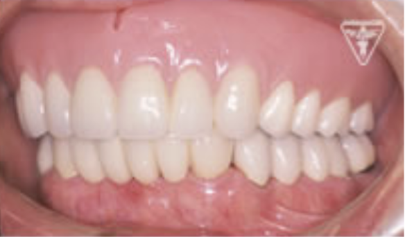
咬合再構築により 機能・審美的改善が得られ最終義歯の作成を行う。
抜歯後即時に義歯を入れ、下顎にレジンシェルを接着し予後を経過観察する。約6ヶ月白い粘膜調整剤(ティッシュコンディショナー)により同等沈下した動的粘膜面印象を採得する。SHILLA Systemにより情報を咬合器に移行し、最終補綴物を調整する。
SHILLA Systemによる咬合平面、歯列弓等の情報を移行した
経年変化に対して変化が少なくなることを期待して咬み合せ面を白金加金に置き換える。
理想的咬合平面・咬合関係を再度煮詰めなおし調整する
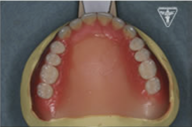
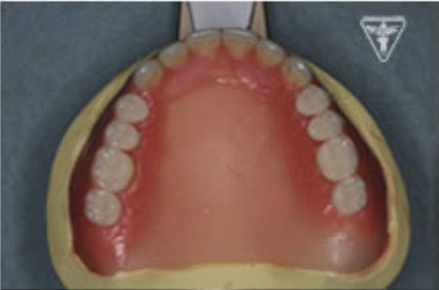
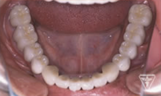
完成した最終義歯


治療期間・治療費・リスク

治療後のリコール時におけるリスクマネジメント
- 上顎総義歯がゆるくなる場合がある。ゆるくなった所を同じ材料で足して適合を合わせ、長く使用していただく
- 歯周疾患、咬合の管理をリコールにより、継続治療をおこなう。専門的なクリーニングをリコール時に行う








































