症例紹介
30代 女性:顎のずれによる顎関節症の症例
治療前後の比較


症例について
下の顎が右にずれていて、下の歯が反対のかみ合わせになっており食事をすると顎が疲れて、良く噛めないという訴えで来院されました。
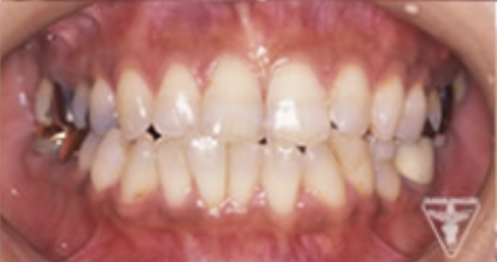
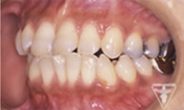
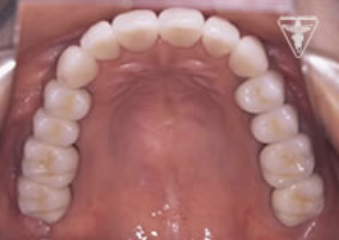
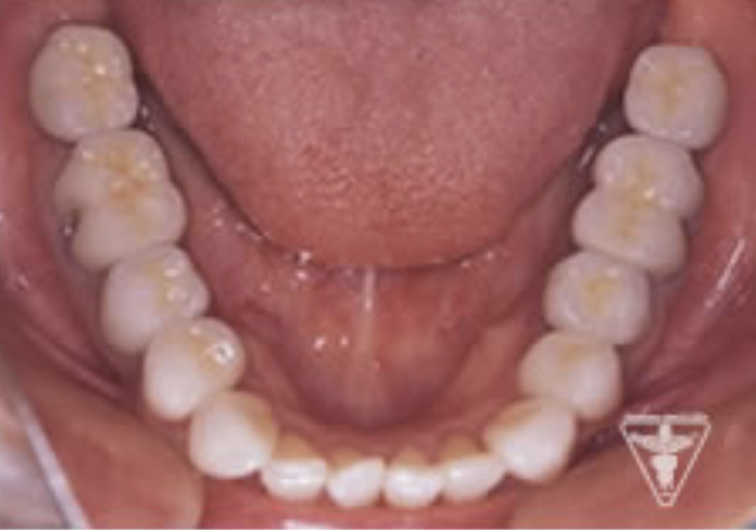
治療前
初診時の正面観・側方観・かみ合わせの面の状態を示します。
下の顎のずれがあるのを確認して下さい。
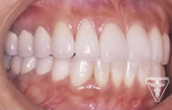
治療後
顎のずれを改善し、上下のかみ合わせの関係を理想的にして筋肉や関節の緊張が取れ、穏やかな表情に変られました。「良く噛めるようになった。」と評価をいただきました。
リコールに真面目に通われており、感謝しております。
やり直しがないように、しっかり管理させていただきます。
治療前後の比較




治療後の経過状態
治療期間・治療費・リスク

治療後のリコール時におけるリスクマネジメント
- 歯肉、歯周組織の管理、コントロールを行う
- インプラント周囲炎、インプラントの補綴の咬合、管理をリコール時に行う












