骨隆起(外骨症)- 口の中にボコボコした骨が…放置は危険?
【骨隆起(外骨症)】口の中にゴツゴツした固いしこりが…
放置は危険?治療できる?気になる疑問を詳しく説明
歯科医院で「骨隆起(外骨症)」と診断された、もしくは身近な方が診察を受けた場合に、よくある質問や疑問にお答えします。
骨隆起が気になる方やそのご家族に向けて、知っておくべきポイントを簡潔にまとめました。
骨隆起(外骨症)って何?
骨隆起(外骨症)は、歯の周りの骨が異常に突起して、硬く膨らむ状態を指します。多くの場合、痛みは伴わないことが多いですが、見た目に気になる方や、噛み合わせに影響を及ぼすことがあるため、放置せずに治療を考えることが大切です。
主な原因
骨隆起が発生する原因は完全には解明されていませんが、いくつかの要因が考えられます。
- 遺伝的要因: 骨隆起は家族内で見られることがあり、遺伝が関係している場合があります。
- 長期間の歯ぎしりや食いしばり: これらが原因で顎の骨に圧力がかかり、骨隆起が生じることがあります。
- 噛み合わせの問題: 正しい噛み合わせができていないと、歯や顎に余分な負担がかかり、骨隆起を引き起こすことがあります。
主な症状/デメリット
- 歯肉の下に硬い膨らみが現れる
- 噛み合わせの違和感や不快感を感じることがある
- 食事中に突起部分が刺激されることがある
- 喋りづらくなる
- 舌のスペースが小さくなる
▼口蓋隆起


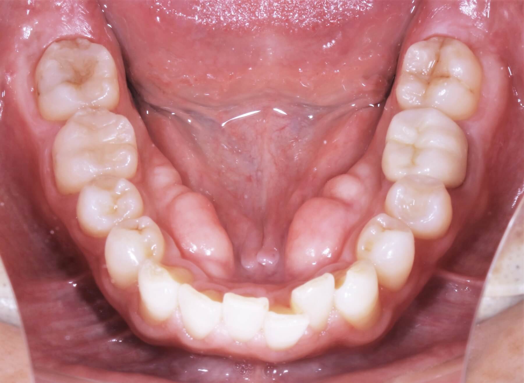
▲下顎隆起

放置してもいい?自然に治る?放置してもいい?自然に治る?
生活に支障がなければ放置しても問題ないのですが、骨隆起があることで起こるリスクがあります。
生活する上で必要なお口の健康維持のためにも、以下の影響を踏まえて治療を検討ください。
骨隆起の正体はズバリ、”骨”です。
そして、この”骨”は、どんどん成長していきます。
つまり、放置するとどんどん大きくなっていくわけです。
さて、ここからは放置したことによる様々な影響を、簡単に紹介していきます。
- 話しにくい、聞き手から聞き取りにくいと言われる
骨隆起が大きく成長している場合、話しにくくなることや、相手に何度も聞き返されることが多くなる可能性があります。 - 口内炎の原因になる
硬い食べ物などを食べるときに、骨隆起に当たって痛みを感じたり、口内炎になることがあります。 - 別の治療時に影響がでる
歯科矯正の場合、マウスピース治療、歯の裏側での矯正ができないことや、
入れ歯(義歯)を被せる際に、骨隆起があたり痛みが出ることがあります。 - 噛み合わせの歪みがでる
骨隆起が顎の骨に現れると、その形状が噛み合わせに影響を及ぼすことがあります。
特に骨隆起が大きくなると、歯や顎に不自然な力がかかり、噛み合わせがずれることが考えられます。
噛み合わせが不安定になると、歯に過度の負担がかかり、最終的には歯や顎に痛みを引き起こす可能性があります。
参考症例画像
下顎隆起症例
▼治療前

▼治療後

▼切除した骨隆起の画像

骨隆起が気になる方へ
骨隆起があると、見た目が気になる方も多いかもしれませんが、必ずしも治療が必要なわけではありません。
ただし、進行している場合や、生活に支障をきたしている場合は早めに治療を受けることをお勧めします。
状態によっては保険適用が可能なケースもあるため、気になった方は是非お気軽にご相談ください。

